نقيلة دماغية (Q6003803)

من Marefa data
مرض يصيب الإنسان
اللغة التسمية الوصف أسماء أخرى
العربية
نقيلة دماغية
مرض يصيب الإنسان
    الإنجليزية
    brain metastasis
    A brain metastasis is a cancer that has metastasized (spread) to the brain from another location in the body and is therefore considered a secondary brain tumor.
    • metastatic malignant neoplasm to brain
    • metastatic neoplasm to the Brain
    • secondary malignant neoplasm of brain (disorder)
    • Brain metastasis
    • Brain metastases
    • obsolete metastatic malignant neoplasm to brain

    بيانات

    Wikidata item الإنجليزية
    ٠ مرجع
    GND ID الإنجليزية
    ١ مراجع
    Imported from Wikidata item الإنجليزية
    subclass of الإنجليزية
    ١ مراجع
    Imported from Wikidata item الإنجليزية
    ١ مراجع
    Imported from Wikidata item الإنجليزية
    Commons category الإنجليزية
    Brain metastases
    ١ مراجع
    Imported from Wikidata item الإنجليزية
    NCI Thesaurus ID الإنجليزية
    C3813
    ١ مراجع
    Imported from Wikidata item الإنجليزية
    Microsoft Academic ID الإنجليزية
    ١ مراجع
    Imported from Wikidata item الإنجليزية
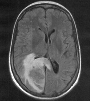
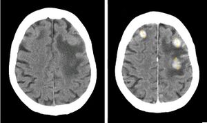
    image الإنجليزية
    BrainMetastasisFromBreastCancer.jpg
    ٦٩٨ × ٤١٣؛ ٤٦ كيلوبايت
    ١ مراجع
    Imported from Wikidata item الإنجليزية
    HirnmetastaseMR001.jpg
    ٤٩٣ × ٥٥١؛ ١٥٠ كيلوبايت
    ١ مراجع
    Imported from Wikidata item الإنجليزية