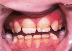
نقص تكون ميناء الأسنان (Q2820741)
مرض يصيب الإنسان
| اللغة | التسمية | الوصف | أسماء أخرى |
|---|---|---|---|
| العربية | نقص تكون ميناء الأسنان |
مرض يصيب الإنسان |
|
| الإنجليزية | dental enamel hypoplasia |
Human disease |
|
بيانات
Wikidata item الإنجليزية
NCI Thesaurus ID الإنجليزية
subclass of الإنجليزية
exact match الإنجليزية
health specialty الإنجليزية
MeSH descriptor ID الإنجليزية
MeSH tree code الإنجليزية
Commons category الإنجليزية
image الإنجليزية
Microsoft Academic ID الإنجليزية
instance of الإنجليزية
