رأس الميدوزا (Q398730)

من Marefa data
appearance of distended and engorged superficial epigastric veins الإنجليزية
اللغة التسمية الوصف أسماء أخرى
العربية
رأس الميدوزا
لا يوجد وصف
    الإنجليزية
    Caput medusae
    appearance of distended and engorged superficial epigastric veins
    • Cruveilhier–Baumgarten syndrome
    • Distended umbilical veins

    بيانات

    Wikidata item الإنجليزية
    ٠ مرجع
    Freebase ID الإنجليزية
    ١ مراجع
    Imported from Wikidata item الإنجليزية
    ١ مراجع
    Imported from Wikidata item الإنجليزية
    health specialty الإنجليزية
    ١ مراجع
    Imported from Wikidata item الإنجليزية
    different from الإنجليزية
    Cruveilhier–Baumgarten disease الإنجليزية
    ١ مراجع
    Imported from Wikidata item الإنجليزية
    has cause الإنجليزية
    ١ مراجع
    Imported from Wikidata item الإنجليزية
    instance of الإنجليزية
    ١ مراجع
    Imported from Wikidata item الإنجليزية
    Microsoft Academic ID الإنجليزية
    ١ مراجع
    Imported from Wikidata item الإنجليزية
    named after الإنجليزية
    ١ مراجع
    Imported from Wikidata item الإنجليزية
    subclass of الإنجليزية
    ١ مراجع
    Imported from Wikidata item الإنجليزية
    Commons category الإنجليزية
    Caput medusae
    ١ مراجع
    Imported from Wikidata item الإنجليزية
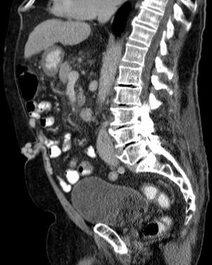
    image الإنجليزية
    Caput medusae CT sag.jpg
    ٨٥٩ × ١٬٠٧٦؛ ١٢٤ كيلوبايت
    media legend الإنجليزية
    [[Tomografia computada|TC]] abdominal en secció [[sagital]] on es mostra al melic (a l'esquerra de la imatge) les venes que hi surten (i que corresponen al cap de Medusa). (الكتالانية)
    ١ مراجع
    Imported from Wikidata item الإنجليزية