دواد (Q29804)

من Marefa data
macroparasitic disease in which a part of the body is infected with parasitic worms الإنجليزية
اللغة التسمية الوصف أسماء أخرى
العربية
دواد
لا يوجد وصف
    الإنجليزية
    parasitic helminthiasis infectious disease
    macroparasitic disease in which a part of the body is infected with parasitic worms
    • helminthosis
    • helminthiases
    • helminth infection
    • worm infection
    • helminthiasis

    بيانات

    Wikidata item الإنجليزية
    ٠ مرجع
    subclass of الإنجليزية
    ١ مراجع
    Imported from Wikidata item الإنجليزية
    ١ مراجع
    Imported from Wikidata item الإنجليزية
    Commons category الإنجليزية
    Helminthiases
    ١ مراجع
    Imported from Wikidata item الإنجليزية
    has cause الإنجليزية
    of الإنجليزية
    ١ مراجع
    Imported from Wikidata item الإنجليزية
    Freebase ID الإنجليزية
    ١ مراجع
    Imported from Wikidata item الإنجليزية
    MeSH descriptor ID الإنجليزية
    subject named as الإنجليزية
    Helminthiasis
    ١ مراجع
    Imported from Wikidata item الإنجليزية
    NCI Thesaurus ID الإنجليزية
    C84751
    ١ مراجع
    Imported from Wikidata item الإنجليزية
    ١ مراجع
    Imported from Wikidata item الإنجليزية
    ١ مراجع
    Imported from Wikidata item الإنجليزية
    ١ مراجع
    Imported from Wikidata item الإنجليزية
    cambendazole الإنجليزية
    ١ مراجع
    Imported from Wikidata item الإنجليزية
    emodepside الإنجليزية
    start time الإنجليزية
    ٢٩ يونيو 2007http://data.marefa.org/entity/Q1985727
    ١ مراجع
    Imported from Wikidata item الإنجليزية
    disophenol الإنجليزية
    start time الإنجليزية
    ٥ يونيو 1964http://data.marefa.org/entity/Q1985727
    ١ مراجع
    Imported from Wikidata item الإنجليزية
    BabelNet ID الإنجليزية
    00043628n
    ١ مراجع
    Imported from Wikidata item الإنجليزية
    GND ID الإنجليزية
    ١ مراجع
    Imported from Wikidata item الإنجليزية
    ICD-9-CM الإنجليزية
    120-129.99
    ١ مراجع
    Imported from Wikidata item الإنجليزية
    128.9
    ١ مراجع
    Imported from Wikidata item الإنجليزية
    128.8
    ١ مراجع
    Imported from Wikidata item الإنجليزية
    Microsoft Academic ID الإنجليزية
    ١ مراجع
    Imported from Wikidata item الإنجليزية
    ١ مراجع
    Imported from Wikidata item الإنجليزية
    topic's main category الإنجليزية
    instance of الإنجليزية
    ١ مراجع
    Imported from Wikidata item الإنجليزية
    ١ مراجع
    Imported from Wikidata item الإنجليزية
    MeSH tree code الإنجليزية
    ١ مراجع
    Imported from Wikidata item الإنجليزية
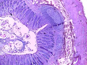
    image الإنجليزية
    Helminth in appendix 10x (1).jpg
    ٢٬٠٤٨ × ١٬٥٣٦؛ ٢٫٧٩ ميجابايت
    ١ مراجع
    Imported from Wikidata item الإنجليزية